
![]() |
![]() |
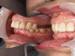
| 術前(正中離開) | 歯を削ったところ |
![]() |
![]() |
| セラミックスのラミネート | 術後 |
![]() |
![]() |
| 術前(上顎右2番目の捻転歯) | ハイブリッドセラミックスのラミネート |
![]() |
![]() |
| 術後 |
![]() |
![]() |
| 歯を削ったところ | メタルボンドクラウン |
![]() |
![]() |
| 歯肉に接するところはセラミックス | 術後 |
![]() |
![]() |
| 術前 | 歯を削ったところ(ファイバーポスト使用) |
![]() |
![]() |
| メタルボンドクラウン | 術後 |
![]() |
![]() |
| 交通事故で歯を破損。ファイバーポストを 応用し歯を削ったところ |
|
![]() |
![]() |
| 小臼歯はメタルボンドクラウン | 術後 |
![]() |
![]() |
| 歯を削ったところ | クラウン |
![]() |
![]() |
| 裏から見たところ | 術後 |
![]() |
![]() |
| 術前 | 前突している |
![]() |
![]() |
| 術後 | 術後 |
![]() |
![]() |
| 不適合の硬質レジン使用のブリッジや 金属クラウンのやり変え |
咬合面から見たところ |
![]() |
![]() |
| 歯の長さを整えるため 歯肉整形を行ったところ |
術後 |
![]() |
![]() |
| 術前 | インプラントを植立したところ |
![]() |
![]() |
| 上、下顎のスペースが狭いため 咬む面は金属 |
クラウンを装着したところ |
![]() |
![]() |
| 術前 | 歯と金属に接着するセメントで 装着したところ |
![]() |
![]() |
| 術前 | 術後 |
![]() |
![]() |
| クラスプ(金属のバネ)を使用しない 義歯 |
裏から見たところ |
![]() |
![]() |
| 義歯を外したところ | 義歯を装着したところ (バネは見えません) |
![]() |
![]() |
| 完成の義歯 | 裏側から見たところ |
![]() |
![]() |
| 義歯を外したところ | 装着したところ |